Pre lekárov

Pokročilí skríning diabetickej retinopatie pomocou fundus kamery iCARE DRS Plus s využitím softwaru iCare RETCAD® využívajucu umelú inteligenciu
Výhody
- Úspora času - vyšetrenie trvá cca 1 min. a je plne automatizované
- Spoľahlivosť a presnosť vyšetrenia - výsledok nezávisí od ľudského faktora na strane lekára i pacienta
- komfort pre pacienta - faktor únavy a spolupráce pacienta je minulosťou
- bezkontaktné vyšetrenie
- sledovanie dynamiky - porovnanie HD snímok je možné kedykoľvek po čase zhodnotiť a vyhodnotiť
- edukačný faktor - pacient sa prvýkrát stretne a vidí výsledok vyšetrenia
- rýchla návratnosť investície - priemerná návratnosť je 6 mesiacov
V rámci diagnostiky očí sa jedná o prevenciu, ktorá je hlavne zameraná na ochorenia ako:
- diabetická retinopatia pri diabete
- vekom podmienená degenerácia makuly - choroba sietnice oka
- glaukóm - zelený zákal
- cievne príhody
- vysoký krvný tlak
- cievna mozgová príhoda
Táto zdravotnícka pomôcka je registrovaná na ŠUKL pod kódom P5719A ako Kamera fundus DRSplus, ako zdravotnícka pomôcka triedy IIa.
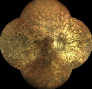
iCare DRS Plus sa vyznačuje používaním bieleho svetla LED v kombinácii s konfokálnou optikou, ktorá pomáha získavať vysokokvalitné snímky sietnice so zvýšenou vernosťou farieb.

Používanie patentovaných produktov
Naše patentované produkty zlepšujú existujúcu technológiu a zlepšujú spôsob, akým nielen oční lekári vyšetrujú pacientov v takmer 100 krajinách. Jednoduchá, efektívna a reprodukovateľná vysoká kvalita obrazu TrueColor je len niekoľko funkcií, vďaka ktorým sú produkty iCare jedinečné. Chceme byť prvou voľbou pre oftalmológov, diabetológov, optometristov a očných pacientov na celom svete.

Buďte v prvej linii
Technológia sa zlepšuje a stáva sa dostupnejšou. Vidíme tendenciu menších a kompaktných vzhľadov a užívateľsky prívetivého dizajnu. Svetový technologický vývoj ide týmto smerom – a nielen oftalmológia je jednou z priekopníckych oblastí. Založme spolu ďalšiu úroveň starostlivosti o oči, pomôžme ľuďom vidieť a užívať si svoj život.
iCare DRSplus - zobrazovací systém fundus s technológiou TrueColor Confocal
Konfokálny zobrazovací systém fundus iCare DRSplus využíva biele LED osvetlenie, ktoré ponúka vysoko kvalitné snímky TrueColor. Technológia TrueColor Confocal, ktorú je možné považovať za štandard vysokej kvality obrazu, poskytuje snímky sietnice špičkovej kvality, bohaté na detaily s vyššou ostrosťou obrazu, optickým rozlíšením a kontrastom v porovnaní s tradičným zobrazovaním očných kamier, efektívnym, automatizovaným procesom bez potreby dilatácie. Presná dokumentácia vo verných farbách poskytuje zdravotníkom jasný, autentický pohľad na očné pozadie vrátane tých najmenších detailov. Toto intuitívne a užívateľsky jednoduché zariadenie DRSplus umožňuje nielen očným lekárom venovať pozornosť detekcii, diagnostike a liečbe patológií.
Rôzne zobrazovacie možnosti pre bohaté a detailné zobrazenie
Technológia TrueColor Confocal s bielou LED, podporuje detailné 45° snímky sietnice a umožňuje skenovanie cez šedý zákal, aby pomohla lekárom pri diagnostike a dokumentácii očných chorôb. Technologickým jadrom DRSplus je jedinečná technológia TrueColor Confocal od iCare, jedinečná kombinácia konfokálnej optiky a bieleho LED svetla. Táto bezprecedentná kvalita obrazu je osvedčená najmä v náročných diagnostických situáciách, ako je hodnotenie pacientov s malými zreničkami alebo šedými záklami. Tradičné systémy na zobrazovanie sú citlivé na opacity - nepriehľadnosť, ktoré majú často tendenciu odrážať svetlo späť do kamery. To robí problém pri získavaní jasných snímok sietnice za nepriehľadnám pozadím.
Lúč svetla na konfokálnom optickom prístroji je veľmi zaostrený, úzky a presný. To umožňuje DRSplus vyprodukovať vysokokvalitné snímky aj v prípadoch, keď je pohľad na sietnicu blokovaný šedým zákalom alebo inými záklami.
Filtrovanie bez červenej s vysokým rozlíšením zlepšuje vizualizáciu vaskulatúry sietnice, modré obrázky poskytujú lepší pohľad na vrstvu nervových vlákien (RNFL) a červený kanál umožňuje svetlu prenikať do hlbokých vrstiev sietnice. Infračervené svetlo poskytuje podrobné informácie zodpovedajúce cievam. Externé zobrazenie oka môže dokumentovať stav povrchu oka a rohovky. Technológia stereo zobrazovača vytvára vylepšené 3D vnímanie disku. Možnosť funcie mozaiky automaticky kombinuje rôzne polia sietnice bez zásahu používateľa a vytvára panoramatické pohľady až do 80 stupňov.
Technológia True Color Confocal
Technológia TrueColor Confocal s bielou LED, podporuje detailné 45° snímky sietnice a umožňuje skenovanie cez šedý zákal, aby pomohla lekárom pri diagnostike a dokumentácii očných chorôb. Jasne osvetlené prostredie a niektoré farmakologické liečby spôsobujú, že sa zrenička zmenší na veľmi malú veľkosť. To predstavuje výzvu pre tradičné zobrazovacie systémy - oční lekári zvyčajne potrebujú byť v tmavej miestnosti alebo dilatovať, aby mohli získať adekvátne snímky sietnice. Napríklad tradičnými fundus kamerami je ťažké získať jasný obraz cez zreničky menšie ako 3,5 mm. DRSplus však vytvára vysokokvalitné snímky sietnice v prirodzených farbách cez zrenice až do veľkosti priemeru min. 2,5 mm. To znamená, že snímky je možné nasnímať úplne bez dilatície pri jasnom svetle , čo ušetrí očnému lekárovi značné množstvo času a úsilia.
Bežné fotoaparáty s bleskom zachytávajú farebné snímky sietnice, ktorých kvalita môže byť ovplyvnená prítomnosťou zákalu (ako je šedý zákal, alebo zákal rohovky), nečistotami na šošovkách zariadenia, malým priemerom zreníc a vrstvami očného pozadia, ktoré sa líšia od samotnej sietnice (tj. choroidálny spätný rozptyl). Vásledkom je obraz sietnice, ktorý zvyčajne vyzerá plocho, preexponovaný v červenom kanály, s vyblednutými oblasťami a s celkovo nižším rozlíšením a nižším kontrastom, než aké je možné dosiahnuť pomocou konfokálneho optického mechanizmu.
V porovnaní s tradičnými riešeniami ponúka technológia TrueColor Confocal od iCare vylepšenú kvalitu obrazu, vylepšený kontrast, jemnejší detailný obraz, potlačenie rozptýleného svetla a lepšie zobrazenie pacientov so slabou dilatáciou spoločne so širokým bohatým farebným rozsahom a vysokou vernosťou farieb.
Rýchla, efektívna a plne automatizovaná prevádzka
So zameraním na automatické funkcie vrátane automatického zarovnania, automatického zaostrovania, automatickej expozície a automatického snímania si tento intuitávny zobrazovací systém vyžaduje minimálne zaškolenie personálu. Zariadenie ponúka živé IR náhľady a možnosti filtrovania, ktoré zjednodušujú následné spracovanie obrazu a tým zabezpečujú konzistentnejšiu a efektívnejšiu prácu. Prezeranie snímok sietnice tiež uľahčuje dotyková obrazovka, ktorá umožňuje jednoduché zväčšenie snímky a funkcia vzdialeného prehliadača umožňuje prístup k vzdialeným údajom z viacerých kontrolných staníc.
Jednoduchá kontrola obrázkov
Kapacitná dotyková obrazovka iCare DRSplus umožňuje jednoduché zväčšovanie a prezeranie detailov obrázkov. Okrem toho voliteľná funkcia vzdialeného prehliadača uľahčuje kontrolu údajov na diaľku a umožňuje akémukoľvek počítaču alebo notebooku v rovnakej lokálnej sieti (LAN) vzdialene prezerať snímky iCare DRSplus, čo umožňuje prístup k údajom a podrobnú analýzu na viacerých kontrolných staniciach.
Skríning diabetickej retinopatie pomocou softwaru využívajúceho umelú inteligenciu iCare RETCAD®
Z vysoko kvalitných fotografií očného pozadia zaobstaraných technológiou iCare DRSplus diagnostikuje diabetickú retinopatiu pomocou umelej inteligencie. Efektívny skríning vyhodnotený softwarom využívajúcim umelú inteligenciu iCare RETCAD®, je schválený pre klinické použitie a je klasifikovaný podľa certifikácie CE (0344) ako zdravotnícky prostiriedok triedy IIa, ktorý šetrí drahocenný čas ako lekára, tak aaj pacienta, umožňuje včasnú intervenciu a pomáha poskytovať včasnú starostlivosť. Analýza pomocou iCare RETCAD® nenahradzuje vyšetrenie zdravotného stavu očí.
Ako funguje ICARE ILLUME
AI (umelá inteligencia) okamžite rozpozná práznaky diabetickej retinopatie a klasifikuje výsledky podľa závažnosti na základe medzinárodných klasifikácií. Získate prehľad s hodnotením závažnosti záchytu, kde po analýze snímok zachytených kamerou iCare DRS Plus je automaticky generovaný report o pacientovi so stupnicou závažnosti pre diabetickú retinopatiu na základe medzinárodných štandardov (ICDR, AREDS).
Fundus kamera iCare DRSplus urobí celkovo 4 vysoko kvalitné True Color snímky (dve z pravého a dve z ľavého oka), ktoré sa automaticky ukladajú na cloud a posielajú sa na spracovanie AI - umelej inteligencii. Report je dostupný ihneď a ten je možné prekonzultovať s pacientom počas tej istej návštevy u lekára.
Referencie
Celá diagnostika prebehla neuveriteľne rýchlo. Fotenie bez rozkvapkávania očí. Fotky sú nádherné, nahrali mi ich aj na USB kľúč a poslali mi ich aj do mailu, report je prehľadný. Som veľmi spokojný.





















